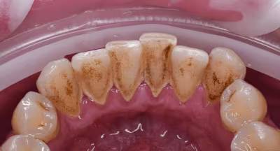
Before
AfterCleaning
Scale and clean removing heavy plaque and tartar build-up, with visible improvement to gum health and tooth surface.
Smile Gallery
Explore before-and-after outcomes across cosmetic, restorative, and general dental treatments — presented with the same clarity and precision we bring to every appointment.
Every smile is different. Outcomes vary depending on oral health, treatment goals, and clinical needs.
Treatments shown
Cosmetic, restorative & general
Results
Real patients, real outcomes
Our approach
Precision, care, and long-term thinking
Treatment outcomes
19 results
Before
AfterCleaning
Scale and clean removing heavy plaque and tartar build-up, with visible improvement to gum health and tooth surface.
Before
AfterCleaning
Two-visit professional clean addressing persistent build-up and early gum inflammation, restoring a fresh baseline.
Before
AfterWhitening
In-chair whitening addressing significant staining and uneven tone, achieving a visibly brighter and more uniform smile.
Before
AfterWhitening
Professional whitening improving general discolouration, resulting in a cleaner and natural-looking smile.
Before
AfterWhitening
In-chair whitening to address deeper enamel discolouration, delivering a noticeably brighter result.
Before
AfterVeneers
Porcelain veneers to correct shape, colour, and symmetry for a balanced, natural-looking smile.
Before
AfterVeneers
Composite veneers to restore chipped edges and improve overall shape and brightness.
Before
AfterBridges
Fixed bridge replacing a missing front tooth, restoring appearance and function.
Before
AfterBridges
Three-unit bridge replacing a missing back tooth, improving bite and stability.
Before
AfterBridges
Ceramic bridge closing a gap and restoring a balanced, natural-looking smile.
Before
AfterCrowns
Ceramic crown restoring a worn tooth, improving strength, function, and appearance.
Before
AfterCrowns
Ceramic crown placed after root canal treatment to protect and strengthen the tooth.
Before
AfterDentures
Partial dentures replacing multiple missing teeth, restoring function and smile balance.
Before
AfterDentures
Full dentures restoring the entire smile, improving comfort, bite, and appearance.
Before
AfterRootCanal
Root canal treatment removing infection and restoring the tooth to function.
Before
AfterRootCanal
Root canal treatment for deep decay, followed by restoration to rebuild the tooth.
Before
AfterRootCanal
Multi-visit root canal treatment saving a severely damaged tooth from extraction.
Before
AfterRestoration
Composite restorations replacing old fillings and restoring natural tooth structure.
Before
AfterRestoration
Composite filling removing decay and rebuilding the tooth for strength and function.
FAQ
Yes. The Smile Gallery presents real treatment outcomes completed by the clinic. Images are selected to demonstrate different treatment types and may be shown with patient consent.
Not necessarily. Every smile is different, and treatment outcomes vary depending on oral health, anatomy, treatment goals, and the condition being addressed.
The most appropriate option depends on your oral health, what concerns you would like to improve, and what is clinically suitable. A consultation allows the dentist to assess your needs properly.
Yes. During your appointment, the clinic can talk through treatment possibilities, answer questions, and explain what may be achievable for your smile based on your individual case.

Send us a message and we’ll respond with clear guidance and the next best step.